Chào chị, để xác định xem bác gái có trồng răng được luôn hay không thì cần thăm khám với bác sĩ để xác định các vấn đề sau: bác có mắc bệnh nền gì không? xương hàm của bác có đủ để cấy ghép implant không? tình trạng răng hiện tại như nào?….Sau khi có đủ dữ liệu thì bác sĩ tại ViDental sẽ tư vấn cho bác gái phương pháp phù hợp nhất ạ. Chị đặt lịch hẹn với nha khoa để được hỗ trợ tốt nhất nhé ạ.
Chào chị, không biết bác nhà mình mất mấy răng ạ? Nếu bác cần trồng răng toàn hàm thì có thể tiến hành phục hình răng tức thì chỉ trong 2 ngày. Còn bác mất răng đơn lẻ thì cần đi lại từ 2-3 lần để hoàn thiện vì trụ implant cần thời gian để tương tích với xương của bác. Với thời gian như thế thì việc đưa bác đi thăm khám tại ViDental vẫn rất đơn giản và nhẹ nhàng ạ.
trồng răng bên này tuân thủ đúng các tiêu chuẩn quốc tế nên chắc uy tín đó chị. Mà em nghĩ để chắc chắn nhất thì chị cho bố đi khám họ chụp phim CT Cone Beam cho để xem tình trạng răng bố chị thế nào. Hôm trước e cũng được bác sĩ tư vấn chi tiết lắm
Chào anh, tùy từng loại răng, loại trụ mà anh lựa chọn thì tuổi thọ của răng implant có thể bền đến trọn đời. Điều này được đảm bảo vì 100% loại trụ được nhập khẩu chính ngạch từ Mỹ, Thụy Sỹ, Pháp,…và răng sứ được chế tác cá nhân hóa bởi phòng lab đạt tiêu chuẩn ISO ạ.
Chào anh, khách hàng khi trồng răng implant tại Nha khoa ViDental hiện đang được giảm 10% chi phí dịch vụ. Nha khoa cũng thường xuyên có các đợt giảm giá sâu nhân dịp lễ. Để nhận được mức ưu đãi, anh liên hệ với nha khoa để được tư vấn hoàn toàn miễn phí ạ
Thấy có công nghệ độc quyền không khoan xương kìa, cả cái đáp ứng 45 tiêu chuẩn AIFC nữa. Thấy bảo ViDental này là đơn vị đầu tiên với duy nhất đáp ứng đủ các tiêu chuẩn, bảo sao họ phát triển được công nghệ nghe xịn xò vậy
Bác sĩ Quang Anh bên này đỉnh lắm nha, kiểu chuyên làm về phục hình răng luôn ấy, không giống các bên bác sĩ nha khoa cái gì cũng làm, không đào sâu chuyên môn
chưa trải nghiệm trồng răng với bác sĩ này nhưng nhổ răng khôn với bác sĩ thì thấy tốt nha, không đau với nhanh. Đợt đấy tìm hiểu thì thấy bác sĩ cũng xuất hiện trên báo của VTV luôn mà
Chào bạn, những trường hợp cần ghép xương khi trồng răng là do răng đã mất không còn đủ 6mm xương nhé ạ. Bạn xem video bác sĩ Quang Anh – Giám đốc trung tâm phục hình răng ViDental giải thích chi tiết tại đây để dễ hình dung hơn nhé.
trước mình cũng tiếc tiền không trồng răng luôn với chủ quan nghĩ mất có 2 răng chắc ksao. Vậy mà giờ cảm nhận rõ răng nó bị xô lệch hơn trước, ăn đồ nóng lạnh cũng bị ê buốt luôn.
Không đau thật đâu ạ, vì họ có tiêm tê với không tác động nhiều vào mô mềm. Trước tui cũng tưởng đau lắm mà làm xong nhẹ ơ, về ăn uống bình thường luôn
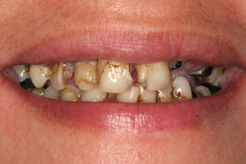
Bố cháu cũng tầm tuổi bác, răng cũng bị sâu như bác và vẫn trồng răng tốt đó ạ. Bác gọi điện bảo nha khoa họ tư vấn kỹ hơn cho bác ạ. Bình luận sợ trôi mất. ảnh bố cháu sau trồng đây ạ
Mình đang học ngành Y thì thấy là những ứng dụng của công nghệ bên vidental này đỉnh, họ kết hợp nhiều cái nổi trội của ngành nha vào với nhau. Chứ người bình thường thì chắc đọc công nghệ này thấy hơi khó hiểu, hơi chuyên môn quá
ui gì mà đắt thế. Hôm trước đi khám bác sĩ bảo nếu kinh tế hạn hẹp thì dùng cái dòng Osstem tầm 16tr/răng là cũng oke đó. Bên vidental thấy có làm dòng này đấy chị.
ai mất răng thì trồng sớm đi mn ạ, để lâu răng tiêu xương hết, lại phải ghép xương mới trồng được đó :((
chi phí ghép xương tốn nhiều k b?
Mẹ tôi 54 tuổi cũng bị mất răng, đang kêu đau nhức rồi thì có trồng được luôn không?

Chào chị, để xác định xem bác gái có trồng răng được luôn hay không thì cần thăm khám với bác sĩ để xác định các vấn đề sau: bác có mắc bệnh nền gì không? xương hàm của bác có đủ để cấy ghép implant không? tình trạng răng hiện tại như nào?….Sau khi có đủ dữ liệu thì bác sĩ tại ViDental sẽ tư vấn cho bác gái phương pháp phù hợp nhất ạ. Chị đặt lịch hẹn với nha khoa để được hỗ trợ tốt nhất nhé ạ.
Thời gian làm việc của nha khoa như nào đó
Nha khoa ViDental làm việc từ 8h -18h tất cả các ngày trong tuần nhé ạ
Thời gian trồng răng có lâu không? bố tôi ở quê không đi lại nhiều được
Chào chị, không biết bác nhà mình mất mấy răng ạ? Nếu bác cần trồng răng toàn hàm thì có thể tiến hành phục hình răng tức thì chỉ trong 2 ngày. Còn bác mất răng đơn lẻ thì cần đi lại từ 2-3 lần để hoàn thiện vì trụ implant cần thời gian để tương tích với xương của bác. Với thời gian như thế thì việc đưa bác đi thăm khám tại ViDental vẫn rất đơn giản và nhẹ nhàng ạ.
oke thế giờ tôi muốn đặt lịch cho bố thì làm ntn?
Dạ chị liên hệ tới hotline của nha khoa 098 793 33 09 hoặc nhắn tin trực tiếp tại đây nhé ạ https://www.facebook.com/nhakhoavidentalvietnam
Em đang tính cho bố đi khám bên ViDental này không biết có oke k? Bố em cũng cao tuổi rồi sợ khó làm
Thấy có chú chủ nhà hàng thái làm bên này giới thiệu này, em đến ăn xong vô tình gặp chú nên cũng được chú giới thiệu cho. Thấy chú trồng răng ưng lắm
trồng răng bên này tuân thủ đúng các tiêu chuẩn quốc tế nên chắc uy tín đó chị. Mà em nghĩ để chắc chắn nhất thì chị cho bố đi khám họ chụp phim CT Cone Beam cho để xem tình trạng răng bố chị thế nào. Hôm trước e cũng được bác sĩ tư vấn chi tiết lắm

Tuổi thọ của trồng răng implant thế nào?
Chào anh, tùy từng loại răng, loại trụ mà anh lựa chọn thì tuổi thọ của răng implant có thể bền đến trọn đời. Điều này được đảm bảo vì 100% loại trụ được nhập khẩu chính ngạch từ Mỹ, Thụy Sỹ, Pháp,…và răng sứ được chế tác cá nhân hóa bởi phòng lab đạt tiêu chuẩn ISO ạ.
Trồng răng implant ở Vidental có ưu đãi gì không?
Chào anh, khách hàng khi trồng răng implant tại Nha khoa ViDental hiện đang được giảm 10% chi phí dịch vụ. Nha khoa cũng thường xuyên có các đợt giảm giá sâu nhân dịp lễ. Để nhận được mức ưu đãi, anh liên hệ với nha khoa để được tư vấn hoàn toàn miễn phí ạ
Trồng răng ở bên này có gì đặc biệt hơn các bên khác đó ace ơiii
Thấy có công nghệ độc quyền không khoan xương kìa, cả cái đáp ứng 45 tiêu chuẩn AIFC nữa. Thấy bảo ViDental này là đơn vị đầu tiên với duy nhất đáp ứng đủ các tiêu chuẩn, bảo sao họ phát triển được công nghệ nghe xịn xò vậy
Bác sĩ Quang Anh bên này đỉnh lắm nha, kiểu chuyên làm về phục hình răng luôn ấy, không giống các bên bác sĩ nha khoa cái gì cũng làm, không đào sâu chuyên môn
có ai bị sâu răng xong mất răng luôn k ạ? e bị mất 2 răng do để sâu lâu ngoài
cũng bị giống bạn, đang xem trên youtube có bạn này cũng trẻ mà mất răng do sâu này
trồng răng bên này có được bảo hành không?
thấy tùy loại trụ được bảo hành trọn đời đó, hoặc tầm 20 năm là cũng oke rồi. Nhất là tầm bố mẹ thì tuổi thọ như thế là quá bền rồi
ai bị mất 2 răng cần trồng lại không ạ, e mới ngã bay luôn 2 cái huhu :((( kb có đắt lắm không ạ
thôi đen thì đành chịu bạn ạ, h quan trọng tìm chỗ tốt mà làm răng thôi, bên vidental này có vẻ được đấy, tìm hiểu thấy nhiều điểm hơn các bên khác
phương pháp implant này hay đấy nhỉ, ngày xưa ông bà toàn phải dùng hàm tháo lắp, tháo ra tháo vào mỗi lần vệ sinh cũng nhọc
công nhận bác nhỉ, y học giờ phát triển thật, nhiều công nghệ mới haha
cho xin địa chỉ nha khoa
Số 18 Huỳnh Thúc Kháng kéo dài, Đống Đa, Hà Nội nha, mới đặt trụ hôm trước bên này, đang đợi tương thích với xương
so với các bên khác thì giá trồng răng bên này hợp lý đó nhỉ
Thấy bảo có ưu đãi kìa, giá này mà dịch vụ các thứ đầy đủ, bác sĩ xịn thì chấp nhận được
Trổng răng loại trụ rẻ nhất, răng toàn sứ rẻ nhất thì bao tiền một cái?
Xin review bác sĩ Quang Anh với
Search google ra 1 đống luôn, chắc cũng nổi tiếng nên được đưa tin nhiều
Bác sĩ này trước toàn làm Trưởng khoa răng hàm mặt với giám đốc chuyên môn tại mấy bệnh viện, nha khoa lớn đó bạn. Profile đỉnh lắm này https://viennhakhoa.org/dr-quang-anh-10-nam-phuc-hinh-rang-17275.html
Trước bs vừa điều trị tủy vừa làm răng cho mẹ em này. Hic còn e thì mới ngã nên cũng rụng mất 2 răng đang cần phải trồng lại

Trước bs vừa điều trị tủy vừa làm răng cho mẹ em này. Hic còn e thì mới ngã nên cũng rụng mất 2 răng đang cần phải trồng lại
chưa trải nghiệm trồng răng với bác sĩ này nhưng nhổ răng khôn với bác sĩ thì thấy tốt nha, không đau với nhanh. Đợt đấy tìm hiểu thì thấy bác sĩ cũng xuất hiện trên báo của VTV luôn mà

Mất răng toàn người lớn tuổi bị ạ :< Em còn trẻ mà cũng bị mất do ngày xưa để sâu quá. Có ai trẻ mà cũng mất răng không ak
mình này bạn ơi, mới ngã xe, gẫy mất 3 cái răng cửa huhu. Bạn thăm khám bên Vidental này chưa
chưa đi nhưng mà đọc cả trên facebook thì thấy nhiều review tốt hơn, trong mấy hội nhóm ấy, thấy nhiều người khen bác sĩ Quang Anh bên này nhiều.
Mình xin thêm thông tin trên facebook với
Mình biết page của bác sĩ Quang Anh thôi chứ mấy bài trên group đọc k lưu lại :))). Link page bác sĩ thì đây này https://www.facebook.com/drquanganhvidental
Có ai bị mất răng toàn hàm chưa. Bố tôi năm nay 70 tuổi bị mất răng toàn hàm rồi. Thấy người ta bảo trồng toàn hàm bằng cái all one 6, one 4 gì đó.
Chú xem bác sĩ giải thích tại đây này chú ơi
Mấy trường hợp nặng như này thì làm sớm đi, thấy bác sĩ Quang Anh bên này trồng toàn hàm cho bệnh nhân suốt mà
Tư vấn cho tôi
Ai trải nghiệm trồng răng tại ViDental này chưa cho xin review với
Thấy bài này viết chi tiết phết này https://hoinhakhoa.com/trong-rang-implant-vidental-4613.html
bác sĩ cho em hỏi, trồng răng cần ghép xương là sao ạ? Hôm trước em đưa bố đi trồng mà họ bảo cần ghép xương, nghe hơi rén nên nhà em chưa làm
Chào bạn, những trường hợp cần ghép xương khi trồng răng là do răng đã mất không còn đủ 6mm xương nhé ạ. Bạn xem video bác sĩ Quang Anh – Giám đốc trung tâm phục hình răng ViDental giải thích chi tiết tại đây để dễ hình dung hơn nhé.
ôi nếu cần phải ghép xương tức là răng của bố bạn bị tiêu xương nhiều rồi đó, trồng sớm đi không hỏng hết răng
trước mình cũng tiếc tiền không trồng răng luôn với chủ quan nghĩ mất có 2 răng chắc ksao. Vậy mà giờ cảm nhận rõ răng nó bị xô lệch hơn trước, ăn đồ nóng lạnh cũng bị ê buốt luôn.
Có thật là trồng răng không đau không vậy? Thấy cái trụ nó cắm vào lợi mà
Không đau thật đâu ạ, vì họ có tiêm tê với không tác động nhiều vào mô mềm. Trước tui cũng tưởng đau lắm mà làm xong nhẹ ơ, về ăn uống bình thường luôn
Tôi năm nay 45 tuổi, bị sâu nên rụng hết mấy răng cửa rồi, muốn trồng răng được không?
Bố cháu cũng tầm tuổi bác, răng cũng bị sâu như bác và vẫn trồng răng tốt đó ạ. Bác gọi điện bảo nha khoa họ tư vấn kỹ hơn cho bác ạ. Bình luận sợ trôi mất. ảnh bố cháu sau trồng đây ạ

Có ai biết về công nghệ trồng răng từ tính không khoan xương này chưa
Mình đang học ngành Y thì thấy là những ứng dụng của công nghệ bên vidental này đỉnh, họ kết hợp nhiều cái nổi trội của ngành nha vào với nhau. Chứ người bình thường thì chắc đọc công nghệ này thấy hơi khó hiểu, hơi chuyên môn quá
t k hiểu sâu nhưng mà mẹ t đã trải nghiệm thì kêu tốt lắm nha. Răng ăn nhai tốt, không gây đau nhức gì. Có điều mẹ t chọn loại trụ giá hơi cao
Tôi bị mất 3 răng và mới đi khám người ta báo giá 90 triệu, sợ quá nên vẫn chưa dám trồng
ui gì mà đắt thế. Hôm trước đi khám bác sĩ bảo nếu kinh tế hạn hẹp thì dùng cái dòng Osstem tầm 16tr/răng là cũng oke đó. Bên vidental thấy có làm dòng này đấy chị.
công nhận trồng răng đắt thật, nhưng mà không làm thì không được, có ai muốn mất răng đâu. Chọn loại nào làm vừa túi tiền thôi